Retainers are the final phase of orthodontic treatment, and patients often underestimate their importance. Today we’ll talk about the different types of retainers available, how to care for them, and why it’s crucial to follow your orthodontist’s instructions on when and how to wear them.
Why Do We Need Retainers?
Orthodontic treatment moves teeth from their original positions into more optimal alignment. During the process, pressure causes bone cells from one side of the tooth to be reabsorbed and then reform on the other side of the teeth. There is also an important ligament called the periodontal ligament that anchors the teeth in place and has to break down and reform during treatment.
After moving the teeth to their new positions, it takes a long time for the bone and ligament to fully reform even after treatment is over.
Retainers immediately after treatment give the tissues and bone around your teeth to adjust to their new positions. Orthodontists often recommend you wear your retainers all the time during the first few months after treatment.
Long-term retainer use at night is important because even after the tissues and bone readjust, your teeth have “memory” that makes them tend to shift into their old positions.
Retainers are the best way to prevent unwanted shifting. No one wants to have to have braces or other orthodontic treatment twice, so using retainers properly helps protect your investment and your oral health.
What Kinds of Retainers Are Available?
Your orthodontist will determine which type of retainer is best for you depending on your specific needs.
These are the most common types of retainers:
Hawley

The Hawley retainers, also called wire retainers, are made from wire and a hard acrylic base that is shaped like your mouth. Wires hold your teeth in place to prevent them from shifting. When wearing a Hawley retainer, there’s a visible wire that goes across your front teeth.
Pros
- Adjustable
- Repairable
- More durable than Essix retainers
- They allow the upper and lower teeth to close naturally
- Come in a variety of fun colors
Cons
- They’re removable, so they’re easy to lose
- More noticeable
- May affect your speech
Essix

Removable, molded from your teeth and made with a transparent, plastic-like material. Essix retainers look just like clear aligners or “clear braces.” They were developed in the 1990s by orthodontist John Sheridan. The name Essix evolved from the original name S-Six, which stood for “Sheridan’s Simple System for Stabilizing the Social Six.” His aligners were designed to stabilize the front teeth only, but today the aligners can be worn over both sets of teeth.
Pros
- Very discreet, nearly invisible
- Less likely to cause speech problems
- Affordable
- Removable for eating and drinking
Cons
- Without proper hygiene, Essix retainers are more likely to cause plaque buildup
- More fragile than other types of retainers
- Easy to lose
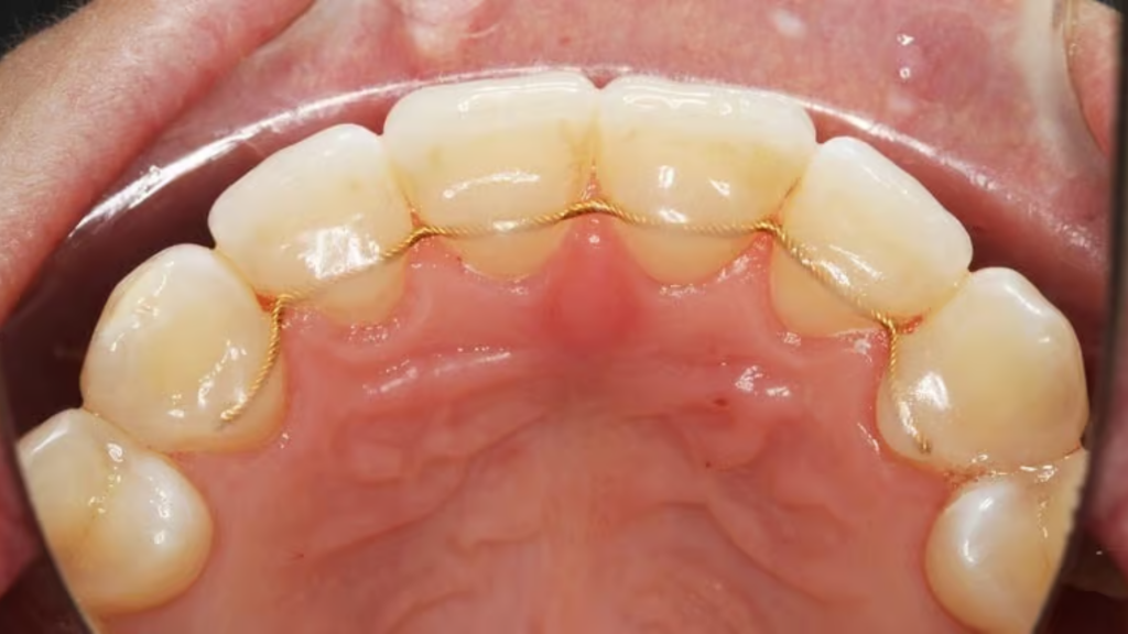
Bonded Retainers

Also known as fixed or permanent retainers, these are custom-fitted wire cemented to the tongue side of your teeth. Bonded retainers are fixed with a dental composite material that is hardened with a special curing light and is very strong. These retainers can be placed on the top or bottom teeth, and left in place for many years.
Pros
- It’s not removable, so there are no worries about compliance
- It’s bonded to the back of the teeth so it’s not visible
- You can’t lose it
Cons
- The sensation of having a wire on the back of your teeth is strange at first
- Makes flossing more difficult because you have to thread the floss underneath the wire
You and your orthodontist will decide which retainer options are best for you or your child. Sometimes your orthodontist will recommend more than one kind, for example you might have a fixed retainer on your bottom teeth and an Essix or Hawley retainer on the top.
Whatever kind you end up with, the most important thing is to follow your orthodontist’s instructions carefully. Practice good oral hygiene and keep your retainer in its case when you’re not wearing it.
Retainer FAQ
My retainer feels tight – can I still wear it?
If you’ve neglected to wear your retainer for a while and it’s tight when you put it back in, you can still use it as long as it’s not causing you pain. If it’s too uncomfortable to wear, you might have to go back to your orthodontist for a new one. Wearing your retainer according to your orthodontists instructions can help you avoid a tight retainer.
Can I drink beverages with my retainer in?
If you have a removable retainer (Hawley or Essix), the only beverage that is safe to drink with your retainer in is water. Drinking sugary or colored drinks can stain your retainer or your teeth and put you at risk for tooth decay when the liquid gets trapped under your retainer. Hot drinks like coffee or tea can not only stain your retainer but can also warp the plastic. Your best bet is to keep your retainer case with you at all times, and take it out before consuming beverages other than water.

If you have a bonded retainer you’re free to eat and drink as normal. Just be sure to take extra care to brush and floss around your retainer to remove any trapped food or bacteria.
How long do I have to wear my retainer?
Each individual case is different, but orthodontists often recommend wearing your retainer all the time for the first 3-6 months after you finish braces or clear aligner treatment. After that, it’s nighttime for a lifetime!
Should I brush my retainer with toothpaste?
Toothpaste is abrasive and can scratch your retainer. Your best bet is to rinse it with water and brush it with a soft bristled toothbrush. You can also soak it once a week in a retainer cleaning solution if necessary to prevent buildup.
As always, your TAO orthodontist is the best person to talk to about any additional questions or concerns you have about retainers. If you’re looking to start orthodontic treatment, find an expert orthodontist near you in our online directory. Many of our member orthodontists offer an initial consultation at no cost to you, so you can gather the information you need and make the best decision possible for you or your child.
Contact a TAO member orthodontist in your area and make an appointment today! Find one in our online directory.



0 Comments