Los retenedores son la fase final del tratamiento de ortodoncia, y los pacientes suelen subestimar su importancia. Hoy hablaremos de los diferentes tipos de retenedores disponibles, cómo cuidarlos y por qué es fundamental seguir las instrucciones del ortodoncista sobre cuándo y cómo usarlos.
¿Por qué necesitamos retenedores?
El tratamiento de ortodoncia mueve los dientes desde su posición original hacia una alineación más óptima. Durante el proceso, la presión hace que las células óseas de un lado del diente se reabsorban y luego se reformen en el otro lado de los dientes. También hay un ligamento importante llamado ligamento periodontal que fija los dientes en su lugar y que tiene que romperse y reformarse durante el tratamiento.
Después de mover los dientes a sus nuevas posiciones, el hueso y los ligamentos tardan mucho tiempo en reformarse por completo, incluso después de finalizar el tratamiento.
Los retenedores que se colocan inmediatamente después del tratamiento permiten que los tejidos y el hueso que rodea los dientes se adapten a sus nuevas posiciones. Los ortodoncistas suelen recomendar llevar los retenedores puestos todo el tiempo durante los primeros meses después del tratamiento.
El uso prolongado del retenedor durante la noche es importante porque, incluso después de que los tejidos y los huesos se reajusten, los dientes tienen “memoria”, lo que hace que tiendan a desplazarse hacia sus posiciones anteriores.
Los retenedores son la mejor forma de evitar desplazamientos no deseados. Nadie quiere tener que volver a ponerse frenillos u otro tratamiento de ortodoncia, por lo que el uso adecuado de los retenedores ayuda a proteger tu inversión y tu salud bucodental.
¿Qué tipos de retenedores hay disponibles?
Tu ortodoncista determinará qué tipo de retenedor es el más adecuado para ti en función de tus necesidades específicas.
Estos son los tipos de retenedores más comunes:
Hawley

Los retenedores Hawley, también llamados retenedores de alambre, están hechos de alambre y una base acrílica dura con la forma de la boca. Los alambres mantienen los dientes en su lugar para evitar que se desplacen. Cuando se usa un retenedor Hawley, hay un alambre visible que atraviesa los dientes frontales.
Ventajas
- Ajustables.
- Reparables.
- Más duraderos que los retenedores Essix.
- Permiten que los dientes superiores e inferiores se cierren de forma natural.
- Disponibles en una variedad de divertidos colores.
Desventajas
- Son extraíbles, por lo que es fácil perderlos.
- Son más visibles.
- Pueden afectar al habla.
Essix

Son removibles, se moldean a la medida de tus dientes y están fabricados con un material transparente similar al plástico. Los retenedores Essix tienen un aspecto similar al de los alineadores transparentes o “frenillos transparentes”. Fueron desarrollados en la década de 1990 por el ortodoncista John Sheridan. El nombre Essix evolucionó a partir del nombre original S-Six (Seis-S), que significaba “Sistema simple de Sheridan para estabilizar los seis sociales”. Sus alineadores se diseñaron para estabilizar solo los dientes frontales, pero hoy en día los alineadores se pueden usar en ambos conjuntos de dientes.
Ventajas
- Muy discretos, casi invisibles.
- Menos probabilidades de causar problemas del habla.
- Accesibles.
- Se pueden retirar para comer y beber.
Desventajas
- Sin una higiene adecuada, los retenedores Essix son más propensos a causar la acumulación de placa.
- Más frágiles que otros tipos de retenedores.
- Fáciles de perder.
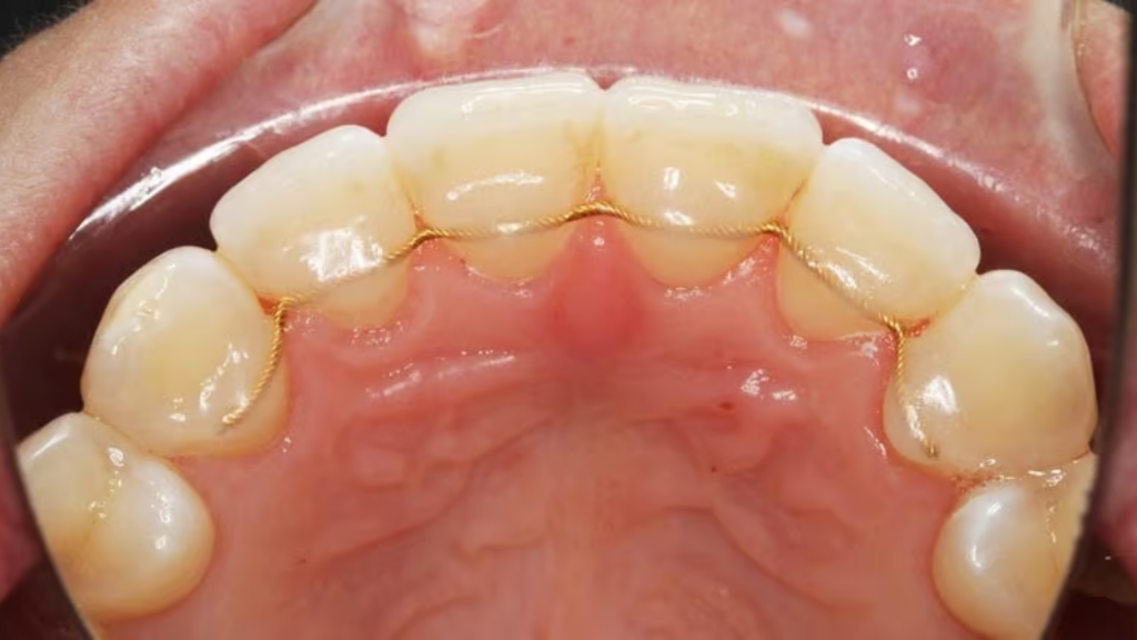
Retenedores fijos

También conocidos como retenedores fijos o permanentes, son alambres hechos a medida que se cementan en la parte lingual de los dientes. Los retenedores adheridos se fijan con un material compuesto dental que se endurece con una luz de curado especial y es muy resistente. Estos retenedores se pueden colocar en los dientes superiores o inferiores y permanecer en su sitio durante muchos años.
Ventajas
- No es extraíble, por lo que no hay que preocuparse por su cumplimiento.
- Está adherido a la parte posterior de los dientes, por lo que no es visible.
- No se puede perder.
Desventajas
- Al principio resulta extraño sentir un alambre en la parte posterior de los dientes.
- Hace que sea más difícil usar hilo dental, ya que hay que pasar el hilo por debajo del alambre.
Tú y tu ortodoncista decidirán qué opciones de retenedores son las más adecuadas para ti o tus hijos. En ocasiones, tu ortodoncista te recomendará más de un tipo; por ejemplo, podría tener un retenedor fijo en los dientes inferiores y un retenedor Essix o Hawley en los superiores.
Sea cual sea el tipo que elijas, lo más importante es seguir cuidadosamente las instrucciones de tu ortodoncista. Practica una buena higiene bucal y guarda tu retenedor en su estuche cuando no lo estés usando.
Preguntas frecuentes sobre los retenedores
Mi retenedor me queda apretado, ¿puedo seguir usándolo?
Si has dejado de usar tu retenedor durante un tiempo y te queda apretado cuando te lo vuelves a poner, puedes seguir usándolo siempre y cuando no te cause dolor. Si te resulta demasiado incómodo, es posible que tengas que volver al ortodoncista para que te haga uno nuevo. Usar el retenedor según las instrucciones de tu ortodoncista puede ayudarte a evitar que te quede apretado.
¿Puedo tomar bebidas con mi retenedor puesto?
Si tienes un retenedor removible (Hawley o Essix), la única bebida que puedes tomar con el retenedor puesto es agua. Beber bebidas azucaradas o con colorantes puede manchar el retenedor o los dientes y aumentar el riesgo de caries cuando el líquido queda atrapado debajo del retenedor. Las bebidas calientes, como el café o el té, no solo pueden manchar el retenedor, sino también deformar el plástico. Lo mejor es llevar siempre contigo el estuche del retenedor y quitártelo antes de consumir bebidas que no sean agua.

Si tienes un retenedor fijo, puedes comer y beber con normalidad. Solo debes tener especial cuidado al cepillarte los dientes y usar hilo dental alrededor del retenedor para eliminar cualquier resto de comida o bacteria que pueda quedar atrapado.
¿Cuánto tiempo tengo que llevar el retenedor?
Cada caso es diferente, pero los ortodoncistas suelen recomendar llevar el retenedor todo el tiempo durante los primeros 3-6 meses después de terminar el tratamiento con frenillos o alineadores transparentes. Después, ¡solo por la noche durante toda la vida!
¿Debo cepillar mi retenedor con pasta dental?
La pasta dental es abrasiva y puede rayar tu retenedor. Lo mejor es enjuagarlo con agua y cepillarlo con un cepillo de dientes de cerdas suaves. También puedes sumergirlo una vez a la semana en una solución limpiadora para retenedores si es necesario para evitar la acumulación de residuos.
Como siempre, tu ortodoncista de TAO es la persona más indicada para responder cualquier pregunta o inquietud adicional que tengas sobre los retenedores. Si estás pensando en iniciar un tratamiento de ortodoncia, busca un ortodoncista experto cerca de ti en nuestro directorio en línea. Muchos de nuestros ortodoncistas miembros ofrecen una consulta inicial sin costo alguno, para que puedas recopilar la información que necesitas y tomar la mejor decisión posible para ti o tus hijos.
Ponte en contacto con un ortodoncista miembro de TAO en tu zona y pide cita ¡hoy mismo!. Encuentra uno en nuestro directorio en línea.



0 Comments